热门关键词: ELISA试剂盒 - 大鼠ELISA试剂盒- 小鼠ELISA试剂盒
全国统一客服热线: 0755-28715175
2019-03-25
华裔牛人Natur子刊发文:哺乳动物不同细胞组分RNA结构图...
2019-03-22
深圳大学PNAS发现RNA结合蛋白RBFox2在心力衰竭中的...
2019-03-21
天津医科大学Cell Death Differ:长链非编码R...
2019-03-20
中国学者Nature Biotechnology首次使用RN...
2019-03-19
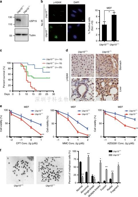
USP15酶在各种癌症治疗中的潜在作用
2019-03-18
Nature:跨国研究最新发现5-羟色胺可以指导基因表达!
2019-03-13
Oncogene:肿瘤微环境的炎症因子如何促进癌症干性和恶性...
0755-28715175/33164177
粤公网安备 44030902000304号
扫一扫,加关注
客户服务热线:0755-3316417713924667705186653359070755-28715175
给我们留言