热门关键词: ELISA试剂盒 - 大鼠ELISA试剂盒- 小鼠ELISA试剂盒
全国统一客服热线: 0755-28715175
2023-09-21
热烈祝贺浙江大学生物系统工程与食品科学学院用“ZIKER”E...
2023-04-27
2023年子科生物五一放假通知
2023-02-15
热烈祝贺中国农业大学用“ZIKER”ELISA试剂盒发表高分...
2023-01-09
2023子科生物春节放假通知
2022-09-30
2022年深圳子科生物国庆放假通知
2022-08-01
钱伟强课题组与合作者揭示lncRNA平衡植物免疫和生长的分子...
2022-06-07
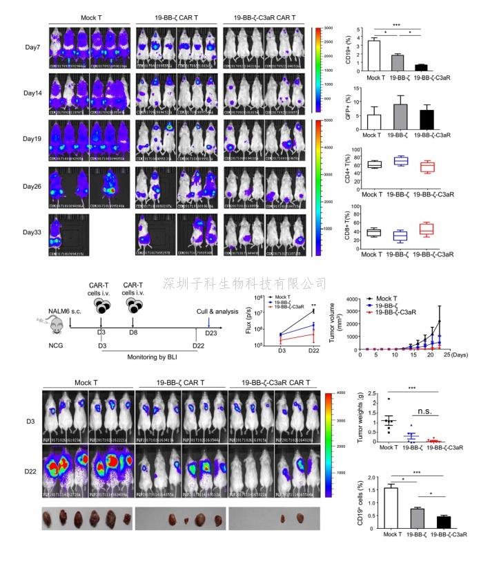
广州健康院在CAR-T治疗血液肿瘤的研究中取得新进展
0755-28715175/33164177
粤公网安备 44030902000304号
扫一扫,加关注
客户服务热线:0755-3316417713924667705186653359070755-28715175
给我们留言